제민일보-제주한라병원·WE호텔 공동건강기획
제주, 로하스 아일랜드를 꿈꾸며
13. 급성 백혈병

적극적 수혈, 항생제 투여 제때 하지 못하면 사망
예전에 여주인공이 아름다운 사랑을 하다가 백혈병에 걸려 비극으로 끝을 맺는 영화나 드라마가 인기를 끈 적이 있다. 예전에는 백혈병이 불치병으로 알려졌지만 현대의학의 발달에 따라 최근에는 상당한 치료 성과를 보고 있는 것으로 알려지고 있다. 백혈병이란 어떤 것이고 치료는 어떻게 하는지 전문의의 도움을 받아 알아본다.<편집자주>
백혈병은 우선 병의 성질에 따라서 급성 백혈병과 만성 백혈병으로 구분하고, 백혈병 세포의 기원에 따라서 골수성과 림프구성으로 구분한다. 그래서 백혈병은 급성림프구성 백혈병, 급성골수성 백혈병, 만성림프구성 백혈병, 만성골수성 백혈병의 4가지로 구분된다. 여기서는 급성 백혈병에 대해서만 거론한다.
조혈모세포와 급성백혈병
어머니 몸속에 있을 때부터 아이의 몸속에는 평생토록 끊임없이 백혈구, 적혈구, 혈소판이라고 하는 3가지의 중요한 피 세포들을 만들어 내는 씨앗세포들이 존재한다. 바로 이러한 씨앗세포를 '조혈모세포'라고 부른다.
거의 대부분의 조혈모세포들은 뼈 속의 아주 작은 벌집모양 공간들인 골수에 존재하면서 절대 마르지 않고 계속해서 피 세포들을 만들어낸다. 이러한 과정을 조혈이라 한다.
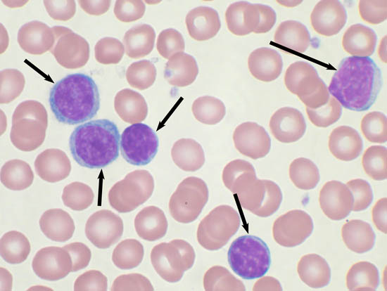
급성백혈병은 골수에 존재하는 조혈모세포들 가운데 하나가 돌연변이를 거쳐서 필요한 피세포가 되지 않은 채 무한정 늘어나기만 하는 암세포로 변화해 나타나는 병이다. 이러한 암세포들이 좁은 골수에서 한없이 늘어나서 다른 정상 조혈모세포들이 조혈을 하지 못하게 만들기 때문에 적혈구 부족으로 인한 빈혈, 혈소판부족으로 인한 다양한 출혈성 증상들(코피, 자반증, 잇몸출혈, 월경과다 등) 그리고 세균과 싸우는 백혈구의 절대부족으로 급성 감염이 일어나 고열이 발생한다.
또한 골수에서 마구 늘어나던 백혈병 세포들이 피 속으로도 나와 전체적으로는 혈액검사에서 백혈구수의 과다한 증가가 발견된다. 그리고 백혈병 세포들은 우리 몸속의 여러 장기와 조직에 퍼져서 간과 비장 혹은 양쪽 목과 사타구니, 겨드랑이에 있는 림프절들이 커지게 된다. 경우에 따라서는 뇌척수액에 나타나기도 한다. 그래서 적절한 항암치료와 함께 적극적인 수혈과 항생제 투여를 제때에 하지 못하면 사망에 이르는 병이다.

급성백혈병의 치료는 만성백혈병의 치료와는 근본적으로 전혀 다르다. 만성골수성 백혈병을 제외한 나머지 백혈병들은 외과적인 수술이 전혀 필요없이 철저하게 항암제만으로 완치를 시킬 수 있는 대표적인 암 질환이다. 급성백혈병은 병의 경과가 매우 빨라서 수혈이나 항생제 정도의 치료만으로는 불과 2-3개월을 넘기기 어렵다. 따라서 진단이 되면 바로 적극적으로 백혈병 세포들을 박멸하기 위한 항암화학제들을 투여해야 한다.
전신방사선 조사후 이식 치료
동종(同種, allogeneic)조혈모세포이식이란 몸속의 백혈병 세포들을 모두 박멸하기 위해서 더 이상 스스로 조혈기능이 회복되지 않을 정도로 강력한 전신 방사선 조사(total body irradiation, TBI)와 함께 고용량의 항암제를 투여하고 바로 다른 사람의 골수 또는 말초혈액에 있는 조혈모세포들을 정맥에 주입함으로써 조혈기능이 빠르게 회복되도록 하는 강력한 백혈병 치료법이다.
급성골수성 백혈병은 아무리 완전관해(항암치료나 이식후 암 세포가 관찰되지 않은 것)가 되었을지라도 재발방지를 위한 몇 번의 항암치료만으로는 1년 이내에 대략 90%가 재발을 한다. 그래서 완전관해 이후 재발하지 않고 오래오래 살도록 하는 가장 효과적인 치료방법이 동종조혈모세포이식이다. 그럼에도 불구하고 이식치료는 여러 가지 제한 점들(이식적합 주조직 적합항원 체계가 일치하는 공여자의 존재, 이식 당시의 환자 나이, 이식 당시 완전관해여부 등) 때문에 일부만이 그러한 치료를 받을 수 있다.
또한 그토록 어렵게 이식을 받았음에도 다른 사람의 조혈모세포들이 내 몸에서 자라면서 일어나는 치명적인 합병증들(급성 및 만성 이식편대숙주반응, 다양한 형태의 감염질환, 간정맥폐쇄증) 때문에 오히려 생명이 더 단축되거나 다행히 백혈병은 없이 살지라도 합병증에 의한 심각한 장애를 안고 평생 살아야 하는 경우가 적지 않다.
그러한 이유 때문에 이식을 해서 가장 효과가 좋을 대상을 사전에 잘 선택하는 것이 필요했고 그와 관련된 많은 연구들이 지난 20여 년 동안 진행돼 왔다. 그 결과 현미경을 통한 백혈병세포들의 관찰 소견이외에도 염색체검사법과 유전자검사법의 눈부신 발달에 힘입어 완전관해를 얻은 다음 바로 동종이식을 해야만 하는 나쁜 백혈병들은 물론 동종이식을 하지 않고 항암제로만 치료해도 경과가 좋은 백혈병들을 어느 정도는 구별이 가능해져 환자 진료에 많은 도움을 받고 있다.
불치병 아니라 치료 성과 있어
급성 백혈병은 이제 과거의 영화 속에서 비극적으로 비춰치던 불치병이 아니고 치료를 통해서 좋은 성과를 얻고 있는 병이 됐다. 그리고 지금도 이를 극복하기 위해서 끊임없는 연구들이 진행되고 있어 치료법이 계속해서 발전하고 있는 질병이기도 하다. 가장 좋은 치료 성과를 얻기 위한 조언을 드린다면 주치의사와 허심탄회하게 모든 것을 털어 놓고 함께 고민하면서 풀어가는 길이 최선이라고 본다.
한 권 기자 hk0828@jemin.com
※ 도움말= 한치화 혈액종양내과 전문의

급성백혈병하면 고등학생 시절에 본 명화, '러브스토리'가 떠오른다. 여배우 알리 맥그로우가 급성골수성 백혈병이었고, 총천연색의 급성백혈병 세포들을 크게 보여준 영화 속 화면이 아직도 또렷하게 기억난다. 아마도 이것이 내 인생에서 숙명이라고 할 수 있는 급성백혈병과의 처음 만남이었다는 생각이 든다.
의과대학을 졸업하고 생화학자가 되는 것이 꿈이었지만 당시 유행하던 급성백혈병의 치료, 특별히 골수이식에 관심이 쏠리면서 젊은 날의 많은 시간을 백혈병 환자들과 중증 재생불량성 빈혈 환자들의 치료와 골수이식으로 지냈다.
급성백혈병 환자를 다루고 있는 또 다른 추억의 영화가 하나 더 있다. 바로 '라스트콘서트'이다. 이는 급성림프구성 백혈병 환자를 다룬 이야기이다.
1980년 초부터 대략 30년간 만난 백혈병 환자들과 재생불량성 빈혈 환자들을 일일이 다 기억을 하지는 못하지만 어쩌다 문득 생각이 나는 사람들로부터 평생 친구로 함께 지내는 사람들까지 꽤나 많다.
서울에서 제주로 내려오면서 남겨 놓은 급성림프구성 백혈병 환자가 늘 마음에 걸린다. 정신발달장애가 있지만 한없이 순수하고 나를 잘 챙겨주던 노총각이다. 이제 다가오는 크리스마스를 어머니와 잘 보내기를 기원한다.
즐거운 기억만큼 아픈 기억들도 너무 많다. 사람의 기억 속에서 과거의 아픈 기억들은 잘 떠오르지 않는다고 하지만 그래도 먼저 하늘나라로 간 그들을 가슴속에 담고 있다. 개인적으로는 이러한 일을 여태까지 해온 그 자체가 커다란 행운이라고 믿고 있다. 나를 믿고 따라 와 주었던 환자와 가족들 모두에게 감사한다.
.
사람이 온도를 느끼지 못하는 온도 즉, 신체 온도와 비슷해 뜨겁고 차가움을 잘 느끼지 못하는 온도를 불감온도라고 한다.
섭씨 35도에서 38도 선을 말한다. 불감온도에서는 피부 혈관을 확장시켜 피가 피부로 몰리게 하며 정신-신경계통을 진정시키는 작용을 한다.
그래서 혈압의 조절, 혈액순환, 진정작용, 진통, 근육이완, 관절 등에도 효과가 좋고 노년층이나 머리가 복잡하고 스트레스에 시달리는 사람이나 불면증이 있는 사람, 고혈압, 동맥경화증, 심장병이 있거나 중풍, 수족마비가 있는 사람들에게 매우 좋다.
헬스리조트 THE WE에서는 워터테라피가 이뤄지는 웰네스센타의 기능성 풀 5곳 모두 이 불감온도를 유지하고 있다.
더욱이 지하 암반 깊숙한 곳에서 발생되는 천연미네랄이 함유된 물을 전 수영장과 기능성 풀에서 사용하고 있기 때문에 몸의 노폐물, 독소가 빠지고 건강해지는 효과는 배가 된다.
세심한 물의 불감온도 유지, 그리고 과학적으로 증명된 물의 성분, 전문가의 체계적인 테라피, 그리고 최첨단 시설이 갖춰져 4박자가 조화를 이루는 WE호텔 웰네스센타에서 물로 건강한 몸을 가꾸어 보는 것도 좋을 듯 하다.


