제민일보-제주한라병원 공동건강기획
장수의 섬 제주를 휴양형 로하스 아일랜드로
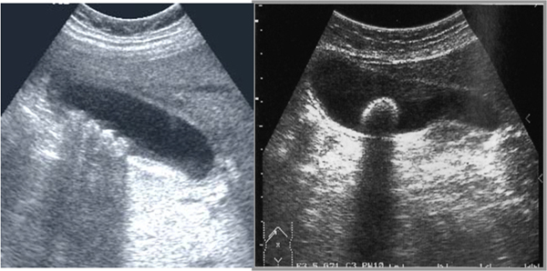
로하스10. 담석증

회사원 김모씨(45)는 과식이나 회식을 한 뒤 명치에 심한 통증이 발생해 동네의원에서 위내시경 검사를 여러 차례 받았다. 하지만 역류성 식도염, 위축성 위염 외에 특별한 이상이 없다는 이야기를 듣고 증상 있을 때마다 약을 복용하며 지냈다. 그러다가 어느날 명치의 지속적인 통증이 우상복부통증으로 증상이 바뀌고 열·오한이 함께 나타나 응급실을 찾았다. 혈액검사 및 복부 CT 검사결과 담낭담석이 동반된 급성담낭염·담관결석이라는 진단을 받았다. 김씨는 결국 입원 신세를 지게 됐다. 전문의와 함께 '담석증'에 대해 자세히 알아본다.
5년간 37% 증가…고령·고지방·비만 등 원인
초음파검사로 확인…내시경 등 치료법 다양
담낭 및 담관에 발생
건강보험심사평가원에 따르면 2010년 10만9700명이던 담석증 환자는 2014년에는 14만9800명으로 5년간 37% 증가했다. 담석증 환자는 꾸준히 증가하고 있지만 진단은 상당히 늦게 이뤄지는 편이다. 복통이나 소화불량, 높은 간수치 등 증상이 간이나 소화기 질환과 비슷하고 통증도 지속적이지 않기 때문이다.
담즙은 간세포에서 만들어져 담낭(쓸개)내에서 일시적으로 머물다가 음식물을 섭취하면 담낭이 수축하면서 담관을 통해 십이지장으로 배출, 소화작용을 돕게 된다. 담석증은 담즙이 흐르는 길에 돌이 형성된 것을 말한다. 담석이 생길 수 있는 부위에 따라 간내 담관석, 간외 담관석, 담낭 담석 등으로 구분한다. 이 가운데 담낭 담석의 빈도가 제일 높다. 담석을 종류별로 살펴보면 콜레스테롤 담석, 색소성 담석, 혼합형으로 나눌 수 있다.
담즙성분 변화 등 원인 다양
담석이 생성되는 기본적인 원리는 담즙의 주요 구성 성분인 담즙산과 인지질이 섞여있는 미포(micelle, 마이셀)성 용액 내에 콜레스테롤 등의 지방질이나 무기염·유기염 등이 비정상적으로 증가, 과포화 상태가 되면서 침전되는 것이다.
콜레스테롤은 지방성분이기 때문에 담즙에 용해되지 않지만, 콜레스테롤이 담즙산이나 인지질과 함께 작은 미포를 형성하게 되면 담즙에 용해돼 용액 상태로 존재할 수 있다. 그러나 비정상적으로 콜레스테롤 수치가 증가하는 경우에는 담즙 내의 콜레스테롤이 과포화 상태가 되므로 침전돼 담석이 형성된다.
콜레스테롤 담석의 위험인자는 고령, 인종(서양인), 유전적 경향, 고지방 식이, 비만 및 체중 감소, 임신, 경구용 피임제와 같은 약제, 당뇨나 장결핵 등의 전신 질환 등이 있다. 콜레스테롤 담석의 형성에는 담즙의 콜레스테롤 과포화, 담즙내 핵화, 담낭의 운동성 저하의 세 가지 인자가 작용한다. 색소성 담석의 위험 인자로는 인종(동양인), 만성 용혈성 질환, 간경변증, 췌장염, 고탄수화물-저지방식이 등이 있다.
위염, 식도염 등으로 오인 쉬워
담석의 증상으로 명치부위 혹은 우상복부 통증이 있다. 급격한 통증이 갑자기 발생해 15분 이상 혹은 5~6시간까지 지속된다. 통증은 오른쪽 어깨나 견갑부 혹은 등으로 방사될 수도 있다. 담석이 담낭관을 막아 발생되는 초기의 내장성 복통은 주로 상복부 한 가운데서 발생한다. 이후 담낭관 폐쇄가 오래 지속되면 이로 인해 염증이 발생하게 되면서 담낭 주위 복막으로도 염증이 파급되기도 한다.
무증상 담석이나 급성통증만 있는 담낭담석의 경우 혈액검사에서는 아무런 이상 소견이 없는 경우도 많다. 담낭염이 발생해 복통과 열이 발생하는 경우에는 우상복부를 누르면 심한 통증을 느끼게 되며 혈액검사에서 백혈구 증가증, 간기능검사 이상소견을 보인다.


담석 위치 따라 치료법 다양
치료방법은 담석의 위치, 합병증의 동반유무에 따라 다양하다. 일반적으로 담낭 내에 있는 담낭결석은 결석에 의한 증상이 없으면 경과 관찰한다. 무증상 담석증은 대부분 증상 발현율이 낮고 합병증의 발생 빈도가 낮아 몇가지 예외 경우를 제외하고는 예방적 담낭 절제술을 할 필요가 없다. 하지만 1㎝ 이상의 담낭용종이 동반된 경우 등 담낭암과 감별이 어렵거나 발생 위험이 높다고 여겨지는 경우 수술을 고려할 수 있다. 담관결석의 경우, 간외 담관에 있는 담석은 대부분 내시경적 역행성 담도조영술(ERCP)을 통해 제거한다.
담석이 담낭관을 막아 발생하는 초기의 통증은 내장성 통증이므로 상복부 중앙에서 증상이 발현된다. 따라서 위염·식도염 등으로 오인하기 쉽다. 과식 후 발생하는 명치통이 야간에 주로 더 발생하고, 참을 수 없는 지속적인 통증이며, 오심·구토·식은땀이 동반되는 경우 반드시 전문의의 진찰 및 검사가 필요하다.
■ 도움말=유기덕 제주한라병원 소화기내과 전문의

두리함께㈜ '장애인 복지여행'
전문서비스에 사회공헌활동도
사회적 약자들에게 선물이 되는 복지여행서비스를 제공하고 있는 한 여행사가 눈길을 끈다. 한국사회적기업진흥원이 2015년 사회적기업가 육성사업기업으로 지정한 두리함께㈜(대표 김명한)다.
제주시 연동에 소재한 이 여행사는 사회적 약자를 위한 여행사로서 장애유형별 특화된 전문여행서비스를 제공하고 있다. 접근 가능한 관광지 등의 지속적인 모니터링을 통해 더 쉽고 편안한 제주여행 및 여행을 통한 치유를 실현한다.
또 제1기 장애인 여행작가 양성과정을 개설해 4개월 동안 여행작가의 사진촬영, 관광지 편의시설 실태조사 등을 진행하기도 했다. 당사자의 눈에서 바라보는 제주 여행 이야기를 통해 세상 밖으로 이야기를 전한다.
사회공헌활동도 하고 있다. 농아 어르신들을 위한 장수사진촬영, 어려운 환경의 사회복지기관에 직·간접적인 여행경비 등을 지원하고 있다.
장애인 고객 증가추세에 맞춰 관광지의 턱을 없애고 경사로를 설치하는 등 관심을 기울이고 있다. 또 장애인관광가이드 육성을 시작, 지속가능한 일자리 창출을 계획하고 있다.

㈜옥두식품 믿고 먹는 간식 생산
다양한 맛과 안전성 전국서 인기
강원도 횡성에서 1992년 출범한 ㈜옥두식품(대표 최정자)은 핫도그와 떡, 냉동식품 등 소비자의 간식류를 주 품목으로 생산한다. 바른 먹거리, 믿고 먹을 수 있는 먹거리를 만들겠다는 포부로 정성을 쏟고 있다.
이 업체는 핫도그의 품질 개선 및 신제품 개발을 위해 연구개발전담부서를 별도 운영하고 있다. 또 지난해 10월부터 횡성인근 산업단지에 식품안전관리인증(HACCP) 공장 신축에 들어가 내년 2월 완공할 예정이다.
2014년 강원도 유망중소기업으로 선정된 바 있으며, 지난해 제19회 강원중소기업대상 특별상을 수상했다.
현재 생산중인 핫도그는 대표 브랜드인 '한우덕'을 포함해 소시지에 반죽을 입히는 형태로 약 12종이다.
횡성의 특산물인 한우를 첨가하고, 부드러운 카스테라 반죽과 식빵반죽 등 반죽 성질을 달리했다. 소시지 또한 닭고기와 돼지고기, 소고기 등을 적절히 배합하고 소스·부재료 등을 다르게 해 다양한 맛의 제품을 지속적으로 개발하고 있다.
현재 고속도로휴게소 등 전국 175개 매장을 확보하고 있으며, 농협식품센터와 학교급식, 서울랜드 등 주요 놀이동산에도 공급하고 있다.


