제민일보-제주한라병원·제주근로자건강센터 공동기획
근로자 건강지킴이 '로하스 프로젝트' 13. 어깨통증

회전근개 파열 심해지면 치료 힘들어져 조기진료 필요
중년 이후 발생...1개 파열 생기면 균형 깨져 범위 확대
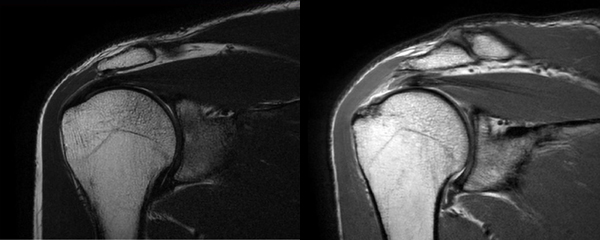
건설현장에서 일하고 있는 53세 남자가 오른쪽 어깨 관절 통증으로 외래를 통해 내원했다. 특이한 외상력은 없다고 했다. 그런데 6개월 전부터 간간히 오른쪽 어깨 관절 부위의 통증이 있었고 많은 움직임이 있은 뒤에는 통증이 더 심해지는 경향이 있다고 호소했다.
방사선학적 검사와 자기공명영상(MRI) 검사 결과 우측 견관절 회전근개의 전층 파열 소견이 관찰됐다. 관절내시경을 사용해 봉합술을 시행한 이후 충분한 재활기간을 거치면서 경과가 좋아 지금은 별다른 통증 없이 지낼 수 있게 됐다.
어깨 통증으로 병원을 찾게 되는 가장 흔한 원인 중 하나가 회전근개 파열이다. 회전근개 파열은 젊은 남자의 경우는 스포츠 활동이나 외상으로 손상되기도 하지만 대부분 중년 이후에 퇴행성으로 힘줄에 염증 및 변성이 생기고 이로 인해 파열을 초래하게 된다.
증상은 통증과 어깨 관절의 운동범위 제한부터 진행하게 되면 가성마비 즉 팔을 들어올리지 못하는 증상까지 다양하게 생긴다.
회전근개는 어깨 관절 주위를 감싸고 있는 4개의 근육으로 이뤄져 있고 이는 극상근, 극하근, 견갑하근, 소원근을 말한다. 회전근개 근육은 어깨를 들어올리고 어깨 관절의 내회전, 외회전을 담당하는 근육이다.
어깨 관절은 우리 몸에서 가장 운동범위가 큰 관절이어서 주위를 이루고 있는 힘줄, 근육이 정상적으로 작용을 해야 회전운동 및 어깨 관절의 안정성을 제공해 줄 수 있다. 회전근개는 4개의 근육이 서로 균형을 이루고 보완해 어깨 관절 운동을 담당하게 되는데 한 개의 근육에 파열이 생기면 이 균형이 깨지게 돼 파열이 진행하게 되고 점차 파열 부위가 커지는 경향이 있다.
회전근개 파열을 파열 두께에 따라 부분 파열, 전층 파열로 구분하기도 하며 파열 범위에 따라 소파열, 중파열, 대파열, 광범위 파열로 구분하기도 한다. 부분 파열의 경우는 수술적 치료를 하기도 하지만 수술적 치료 없이 삼각근 강화 운동과 주사 치료, 약물 치료로 파열의 진행을 늦추고 통증을 감소시킬 수 있다.
하지만 이렇게 치료를 해도 진행해 전층 파열이 되는 경우는 수술적 치료가 필요하게 된다.
수술적 치료는 이전에는 어깨 관절을 절개해 파열된 회전근개 힘줄을 봉합하는 수술을 주로 했지만 최근에는 어깨 관절 내로 내시경을 삽입하는 관절경적 봉합 수술을 주로 하게 된다.
파열 범위에 따라 소파열, 중파열 정도까지는 관절경적 봉합 수술을 시행하면 재파열이 되는 경우가 적고 수술 후 일상생활도 복귀도 빠르다. 하지만 파열 범위가 대파열 이상 진행하게 되면 관절경적 봉합술을 하더라도 재파열율이 증가하게 된다.
회전근개 힘줄 파열이 오래되고 진행하게 되면 힘줄에 연결돼 있는 근육은 일을 하지 못하게 돼 퇴화하게 되며 근육이 점차 지방 조직으로 변하게 되는데 이를 지방 변성(fatty degeneration)이라고 한다. 지방 변성돼 있는 회전근개 근육은 파열된 부위를 당겨서 제자리로 위치하지 않을 가능성이 높게 되며 관절 내시경을 사용해 봉합을 하더라도 완전 봉합을 못할 수 있다.
또한 회전근개 파열이 오래되면 어깨 관절의 회전근개 파열 관절병증(cuff tear arthropathy)가 생기게 되며, 이럴 경우는 파열된 회전근개 힘줄을 봉합하더라도 이미 진행된 관절염을 해결할 수 없기 때문에 관절내시경을 사용해 파열된 회전근개 힘줄을 봉합하는 것보다 어깨 관절의 인공 관절 치환수술을 고려해야 한다.
회전근개 근육의 파열은 정도와 범위에 따라 비수술적 치료부터 인공관절 치환술까지 다양한 치료 방법이 있어 조기에 파열을 진단하면 비수술적 치료로 해결할 수 있지만 방치돼 봉합 불가능한 파열과 어깨 관절의 관절염이 진행된다면 인공관절 치환술을 시행해야 한다.
중년 이후에 발생하는 어깨 관절의 통증은 회전근개 파열의 가능성이 많고 이를 방치하게 되면 시간에 지남에 따라 파열 범위와 크기가 진행하게 되므로 조기에 검사를 시행하고 전문의와 적절한 치료 방침을 상담하는 것이 바람직하다.

<도움말=박민석 제주한라병원 정형외과 전문의>
VDT 증후군 예방 올바른 자세와 스트레칭으로 |
| 컴퓨터와 스마트폰이 대중적으로 보급되면서 작업·여가시간 등을 통한 이들 단말기 사용량이 늘어나는 등 일상생활 의존도가 커지고 있다. VDT증후군(Visual Displat Terminal Syndrome)은 스마트폰, 컴퓨터, 태블릿PC 등 영상화면 단말기의 장시간 사용으로 유발되는 질환을 총칭한다. 업무시간에 컴퓨터를 자주 이용하는 근로자에게 많이 발병되고 있어 일종의 직업병으로도 불리고 있다. 근막통증증후군, 손목터널증후군, 허리와 목디스크, 거북목증후군 및 안구건조증 등의 대표적 증상은 성별과 연령을 불문하고 나타나고 있다. 업무 스트레스가 겹치게 되면 피해는 더 커질 수 밖에 없다. VDT 증후군 예방법 할 수 있는 방법은 올바른 자세와 스트레칭이다. 가장 기본적으로 의자에 앉을 때는 엉덩이를 등받이에 밀착시켜 허리를 곧게 편 채로 앉고, 모니터와 눈의 거리는 40cm 이상 유지하는 게 좋다. 팔꿈치는 책상에 가볍게 내려놓되 그 각도가 90~110도를 유지하는 것이 좋고, 무릎은 90~100도를 유지하면서 발바닥 전체가 땅에 닿도록 해야 한다. 한 시간 동안 업무에 집중했다면 최소 10분은 쉬어야 한다. 한자세로 오랫동안 같은 자세를 유지하다 보면 자신도 모르게 근육들이 긴장하게 되는데, 이로 인해 목, 어깨, 허리 등 근육이 뭉치게 되고 피로를 유발하게 되는 것이다. 스트레칭을 통해 경직된 근육을 풀어주고, 먼 산을 바라보거나 잠시 눈을 감는 등 눈에도 휴식을 주는 게 필요하다. 매일 컴퓨터로 작업을 하는 직장인의 경우에는 이러한 증상을 예방하기 위해 올바른 자세와 함께 스트레칭을 생활화하고 지속적인 관리가 필요하다. 제주근로자건강센터는 근로자에게 노출되는 근골격계질환 예방을 위한 스트레칭교육을 무료로 지원하고 있다. 건강 상담 문의=752-8961. |


