[제민일보-제주한라병원-제주근로자건강센터 공동기획]
-LOHAS 근로자가 실천하는 건강생활 17. 비결핵항산균 폐질환
국내 유병률 증가하는 추세
검사 종합 판단해 진단해야
물과 토양 속 균 주의 필요
비결핵항산균(Nontuberculous mycobacteria, NTM)은 말 그대로 결핵균은 아니지만 결핵균처럼 항산성(산에 강한, acid-fast)을 띤 균이다. 결핵균이 인체에서만 생존하고, 사람 간 전파를 통해 전염되는 것과 달리 이 비결핵항산균은 토양이나 물과 같은 자연환경에 널리 분포하고 주로 호흡을 통해 폐로 들어와 만성폐렴을 일으키며 사람 간 전염은 되지 않는다고 알려져 있다. 후진국 병인 결핵이 최근 지속적으로 감소하는 반면, 비결핵항산균에 의한 폐질환은 점차 증가하는 추세로 최근 한 국내 연구 결과에 의하면 유병률이 2008년 10만명당 5.3에서 2018년 10만명당 41.7명으로 꾸준히 증가하고 있다.
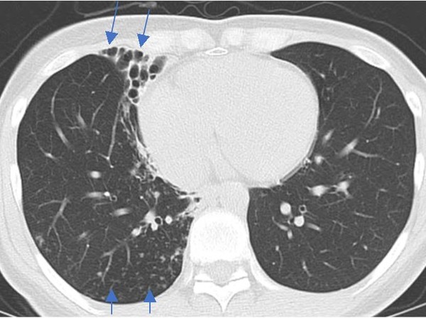
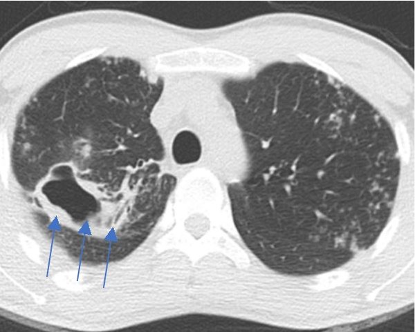
△비결핵항산균 폐질환
비결핵항산균은 피부나 림프절 감염도 일으키지만 폐를 침범하는 경우가 가장 흔하고, 이러한 경우를 비결핵항산균 폐질환(Nontuberculous mycobacterial pulmonary disease, NTM-PD)이라고 한다. 기관지확장증이나 결핵 후 폐손상과 같이 기존에 폐나 기관지 질환이 있는 경우, 혹은 고령, 자가면역 질환이나 항암 치료 등 면역이 저하되는 경우 발생할 수 있다. 한편 이와 같은 동반 질환은 없지만, 특징적으로 마르고 키가 큰 중년 여성에서 자주 발생한다.
△증상과 영상 소견 등 종합 진단
진단은 임상적인 호흡기 증상과 함께 흉부 영상 소견 및 미생물학적 균 확인 등의 결과를 종합해 판단한다. 만성 기침, 가래 혹은 객혈 등 임상 증상이 초기에는 없거나 경미할 수도 있어 건강 검진으로 시행한 흉부 영상 소견에서 진단이 의심되는 경우도 종종 있다. 흉부 영상 소견은 기관지확장증에 모세기관지염을 동반한 결절성 기관지확장증 형태나 공동을 동반한 형태로 나타날 수 있다. 특히 공동성 병변은 결핵이나 폐암에서도 보일 수 있어 감별 검사가 필요하다.
△상황에 맞는 치료 필요
세부 균 종류에 따라 병독성 혹은 치료 약제, 예후 등이 달라지기 때문에 비결핵항산균이 검체에서 배양되는 경우에는 정확한 세부 균동정과 함께 약제 감수성 검사를 추가로 시행하게 된다.
비결핵항산균 폐질환이 진단돼도 결핵과 달리 반드시 치료를 바로 시작하지는 않는다. 10~20% 정도의 환자에서는 균이 저절로 없어지는 경우도 있고, 질환의 경과가 빠르지 않은 경우도 종종 있기 때문이다. 비결핵 항산균 폐질환의 치료는 질환의 중증도, 환자의 상태 및 동반 질환 등을 고려해 치료의 득이 실보다 높다고 판단될 때 시작한다.
치료는 균에 효과적인 항생제를 3~4가지 사용하게 되고 치료 기간은 균이 안 나오는 시점부터 1년 정도 더 복용해 보통 1년 6개월이 소요된다. 결핵보다 예후는 나쁜 것으로 알려져 있고, 치료 종료 후에도 재발하는 경우가 있어 장기적인 추적 관리가 필요하다.
△균에 노출되지 않도록 주의
이 질환의 예방 혹은 진행을 억제하기 위해서는 일단 균에 노출되는 기회를 줄여야 한다. 이 균은 자연수 혹은 처리된 수돗물 등의 수중과 토양 환경에 존재하므로 샤워 혹은 온수 목욕시 증기 배출을 줄이기 위한 적절한 환기 시설을 갖추고, 샤워 꼭지나 싱크대 수전을 청결히 세척해 6개월~1년에 한 번씩 교체하며, 가습기 역시 자주 청소하는 것이 좋다. 정원이나 화분 관리 등 토양에 노출시에는 마스크를 착용하고, 흙에 물을 뿌린 후 작업을 하는 것을 권장한다. 이외에도 역류성식도염 및 비염 등에 의해 이 질환이 악화될 수 있으므로 해당 질환을 치료하는 것이 도움이 된다.
■도움말=강지영 제주한라병원 호흡기내과 전문의
■정리=고기욱 기자
직장생활은 항상 순조롭게 이뤄지지는 않는다. 업무 스트레스 뿐 아니라 직장동료간 관계에서 정서적 어려움을 유발시키는 요인들이 항상 존재하기 때문이다. 특히 직장 내 괴롭힘으로 인해 다수의 직장인들이 심적 압박감과 고통을 호소하는 경우가 많다.
직장 내 괴롭힘이란 근로자가 직장에서의 지위 또는 관계 등의 우위를 이용해 다른 근로자에게 신체적·정신적으로 고통을 주는 행위다. 최근 직장 내 괴롭힘 금지를 내용으로 하는 근로기준법이 2019년 7월부터 시행됐으나 현실적으로 큰 변화는 느끼지 못하는 실정이다.
2017년 국가인권위원회의 조사에 따르면 직장생활 경험이 있는 만 20세~64세 남녀 1500명 중 73.7%가 직장 내 괴롭힘 피해 경험이 있었다. 이러한 괴롭힘에 지속적으로 노출되는 경우 스트레스를 넘어서 트라우마로 이어지게 되고, 결국 회사 내 또는 일상 생활에 어려움을 겪게 된다.
지속적인 어려움을 경험한 사람은 특유한 신념이 생길 수 있는데, '나는 무력하고 나약한 사람이다'라는 부정적 신념과 함께 극심한 불안과 무기력감 등 심리적으로 매우 불안정한 상태에 빠지게 된다. 더 심각해지면 외상후 스트레스장애(PTSD)까지 나타나 일상생활조차 적응하기 힘든 상태로 빠질 수 있기에 이 부분에 좀 더 심각성을 가지고 주의 깊게 인식할 필요가 있다. 극단적인 선택이 일어날 정도로 직장내 괴롭힘은 가볍지 않은 일이다. 단순히 사회적으로 일어날 수 있는 일이 아닌 범죄행위로 인식돼야 한다는 것이다.
직장 내 괴롭힘의 예시를 살펴보면 △정당한 이유 없이 업무능력이나 성과를 인정하지 않거나 조롱하는 행위 △정당한 이유 없이 훈련, 승진, 보상, 일상적인 대우 등에서 차별하는 행위 △특정 근로자에게 근로계약서 등에 명시되지 않은 모두가 꺼리는 힘든 업무를 반복적으로 부여하는 행위 등이다. 이밖에도 허드렛일만 시키거나 지나친 감시, 뒷담화, 집단 따돌림, 위협적 언사, 정당한 이유 없는 퇴사 강요 등 다양한 형태로 나타날 수 있다.
직장 내 괴롭힘을 근절하기 위해서 여러 가지가 필요하겠지만, 우선 회사마다 사원이 모두 참여하는 괴롭힘 대응 관련 예방 교육, 적절한 지침과 매뉴얼이 필요하다. 그리고 무엇보다도 회사 내의 좋은 가치로 강함, 유능함보다 겸손, 배려, 공감과 같은 가치를 우선하는 것이 바람직하다. 회사 내 수평적 상호존중 문화 확산과 갑질 유발 요인들을 근절하기 위한 적극적인 개선 방안도 필요하다.
제주근로자건강센터와 제주직업트라우마센터는 직장내 건강한 문화 조성으로 근로자들의 육체적·정신적 건강을 증진시키기 위한 다양한 프로그램을 무료로 제공하고 있다.
문의=제주근로자건강센터(064-752 -8961)


